Bienvenido a nuestra clínica

Donde tu sonrisa es nuestra especialidad

Logo Clínica Dental Ferreyra
🦷

Acerca De Nosotros

En el Hospital de Especialidades Ferreyra, nos apasiona cuidar tu salud bucal con profesionalismo y cercanía. Creemos que una sonrisa sana mejora tu calidad de vida y refuerza tu confianza. Nuestro equipo trabaja con honestidad y dedicación para ofrecerte tratamientos personalizados, siempre con la más alta calidad y un trato humano. Tu bienestar es nuestra prioridad y nuestra mayor satisfacción.

Nuestra clínica

Contamos con un equipo de especialistas altamente capacitados, con formación sólida y experiencia en cada una de las áreas que conforman la salud bucal. Su preparación continua, ética profesional y vocación de servicio nos permiten ofrecerte una atención integral, precisa y de alta calidad. Trabajamos en conjunto para brindarte soluciones confiables, personalizadas y con el respaldo de un equipo humano comprometido con tu bienestar.

Equipo dental
🦷

¿Que esperar de tu primera cita?

1. Atención personalizada

  • Recibimiento cordial en recepción.
  • Escuchamos tus dudas y necesidades.
  • Ambiente cómodo y trato amable desde el inicio.
  • Te orientamos sobre el proceso de tu cita.
Atención personalizada

2. Evaluación profesional

  • Revisión detallada de tu salud bucal.
  • Valoración clínica y radiográfica si es necesario.
  • Detección de posibles problemas o tratamientos previos.
  • Resolvemos tus preguntas con claridad y honestidad.
Evaluación profesional

3. Plan de tratamiento

  • Presentación de diagnóstico personalizado.
  • Explicación clara de las opciones de tratamiento.
  • Recomendaciones honestas y realistas.
  • Planeación de tiempos, costos y prioridades según tus posibilidades.
Plan de tratamiento
🦷

Servicios

Extracción dental

Realizamos extracciones dentales de manera segura y sin dolor, eliminando piezas con caries severa, fracturas o infección. Nuestro enfoque está orientado a tu bienestar, utilizando técnicas modernas que garantizan una recuperación rápida y mínima molestia.

Ortodoncia

Contamos con tratamientos de ortodoncia tradicionales y estéticos para corregir la posición de tus dientes, mejorar tu mordida y lograr una sonrisa armónica. Te guiamos paso a paso hacia una mejor función dental y estética facial.

Resinas

Reparamos tus piezas dentales con resinas compuestas de alta estética, devolviendo su forma, color y funcionalidad. Estos tratamientos son ideales para caries, fracturas menores o restauraciones cosméticas mínimamente invasivas.

Carillas y coronas

Con nuestras carillas estéticas y coronas personalizadas podrás modificar el color, forma y tamaño de tus dientes. Estas soluciones son ideales para quienes buscan una sonrisa perfecta con resultados naturales y duraderos.

Incrustaciones

Aplicamos incrustaciones y jackets en casos donde la pérdida de estructura dental es moderada o extensa. Estas restauraciones proporcionan alta resistencia, estética y una excelente adaptación anatómica.

Prótesis dentales

Ofrecemos diversas opciones de prótesis dentales: fijas, removibles, totales y flexibles. Cada una se adapta a tus necesidades funcionales y estéticas, devolviéndote la seguridad al comer, hablar y sonreír.

Gingivoplastia

Tratamos enfermedades periodontales con técnicas como gingivoplastia, alargamiento de corona clínica y raspado y alisado radicular. Ayudamos a mantener tus encías sanas y tu sonrisa equilibrada.

Muelas del juicio

Realizamos cirugías de extracción de muelas del juicio utilizando técnicas mínimamente invasivas que reducen al máximo las molestias durante y después del procedimiento. Nuestro equipo se enfoca en brindarte una experiencia cómoda y segura, con un manejo adecuado del dolor, cuidado en cada detalle y una recuperación rápida. Estamos comprometidos con tu bienestar en cada etapa del tratamiento.

Blanqueamiento

Contamos con blanqueamiento dental profesional y profilaxis profunda. Estos tratamientos eliminan manchas, aclaran el color de tus dientes y mejoran notablemente la apariencia de tu sonrisa.

Atencion infantil

Brindamos atención especializada para niñas y niños, con un enfoque cálido, paciente y profesional. Creamos un ambiente amigable para que cada pequeño se sienta seguro y en confianza desde su primera visita. Nuestro objetivo es fomentar hábitos saludables y prevenir problemas a futuro, haciendo de cada consulta una experiencia positiva.

🦷

Testimonios

Nuestros pacientes comparten historias de confianza, trato amable y resultados que superan sus expectativas. Cada testimonio refleja nuestro compromiso con la calidad, la honestidad y el cuidado personalizado que nos distingue.

¿Qué opinan nuestros pacientes de nosotros?

"Por fin puedo tener la sonrisa que quiero gracias a la doctora pilar!."

- Paciente Satisfecha

"Les recomiendo mucho que vengan porque es una excelente doctora..."

- Paciente Satisfecha

"Feliz con el resultado, muy recomendable!..."

- Paciente Satisfecho

"Estoy muy contenta con la experiencia que hemos vivido aqui mi hijo y yo"

- Paciente Satisfecho

"Me restauró mi sonrisa!"

- Paciente Satisfecho

"Es una persona muy profesional, muy preparada, su atencion, su trato y su personal es excelente"

- Paciente Satisfecho

🦷

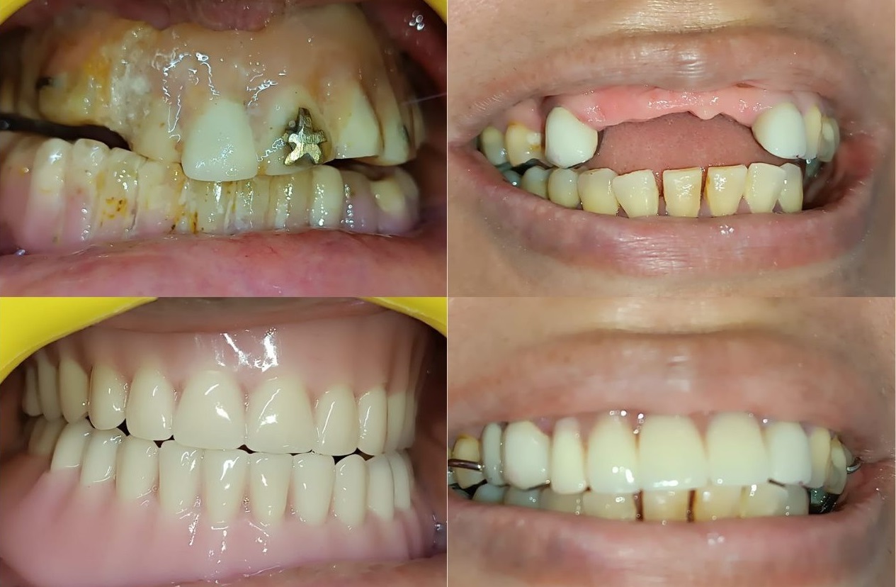
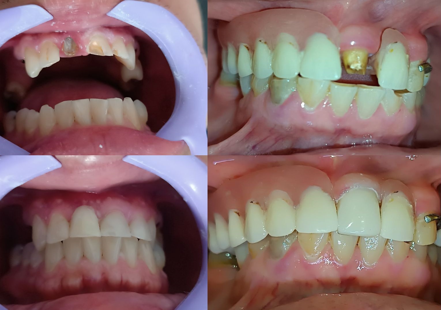
Resultados Antes y Después

Antes del tratamiento Después del tratamiento

Blanqueamiento Dental

Antes del tratamiento Después del tratamiento

Resina

Antes del tratamiento Después del tratamiento

Corona veneer

Antes del tratamiento Después del tratamiento

Protesis Removible

Antes del tratamiento Después del tratamiento

protesis Fija

Antes del tratamiento Después del tratamiento

Protesis Total

Antes del tratamiento Después del tratamiento

Ortodoncia

Antes del tratamiento Después del tratamiento

Protesis Flexible

Antes del tratamiento Después del tratamiento

Gingivoplastia

🦷

¡Contáctanos!

José López Portillo 147,
entre Hernández Ochoa y Acosta Lagunes

229 243 9305

Chatea por WhatsApp

Correo electronico

Lunes a Sábado: 09:00 – 19:00
Domingo: Cerrado

¡Siguenos en nuestras redes!

¡Te esperamos!

¿Tienes dudas?